A Chinese man narrowly escaped death after inserting an eel into his rectum.
Discover our latest podcast
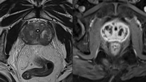
The man, from Xinghua in the Eastern province of Jiangsu introduced the 20cm long ray-finned fish into rectum through his anus on July 20 after suffering from a painfully prolonged case of constipation.
The unnamed man claimed to have gotten the idea from ‘folk remedy’ which suggests that eels can help with bowel movement.
However, the live fish bit through his colon before getting stuck in his abdomen, causing him severe pain.
Feeling shy
After enduring exacerbated pain in his abdomen 24 hours after depositing the fish in his butthole, the man decided to seek medical attention. He said he could have gone earlier but ‘was too shy’.
The eel was still alive when doctors performed an operation to have it removed.
They however warned that he could have died from hemolysis—the destruction of red blood cells caused when bacteria from the large intestine reaches the abdomen.
Not the only one

Before this incident, other people have fallen victim to this constipation remedy with varying degrees of damage caused. In June last year, a 50-year-old man in South China's Guangdong Province did the same thing with a 16 inch eel.
The fish tore through his intestines for a week before getting stuck and dying in his abdomen.
He spent three days in intensive care after an emergency surgery. Doctors said the eel had left his organ severely infected with waste matter.
In another instance, an African carp was found in the stomach of a young man in Guangdong, who claimed that the fish ‘slid into’ his rectum when he accidentally sat on it.









