What's one of the first things you do after taking a shower? Reach for a cotton bud and clean your ears, right? Well, it's time to kick this old habit that's bad for the environment and dangerous for your health!
Discover our latest podcast
It's probably not the first time you hear that cleaning your ears isn't doing you any justice. Health professionals have long warned of the risks of inserting cotton swabs into the ear canal. This horror story is sure to help you make the jump once and for all.
Cleaning his ears bought him a trip to the hospital
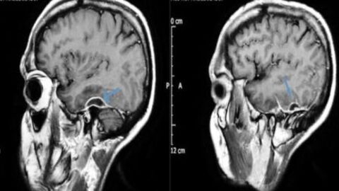
BMJ Case Reports published a clinical study that describes the surprising case of a 31-year-old man who used these swabs to clean himself. The man arrived at the hospital on the verge of collapsing, with convulsions, a disturbed state of conscience and drowsy. Doctors did a CT scan of his brain and found out what was going on with him. He had a gotten a cotton bud stuck in his skull. As a result, he had developed a severe cranial infection which left him with severe pain in his left ear and severe headaches. Doctors also saw that the patient's skull was filled with pus. The man had to be put on antibiotics for 8 weeks, thanks to which he eventually recovered. But we bet he'll never use a cotton swab to clean his ears again.
Why do we have earwax?
Let's make something clear once and for all—earwax is totally natural and healthy. It traps dirt and dust so they don't travel deeper into our ear and eventually, our brain. Our body has a very natural way of getting rid of earwax build up—by chewing and other jaw movements which push the wax out of the ear naturally. Eventually, the wax will reach the outer section of the year and fall out naturally.
While it may seem like there is excess wax in your ears, earwax buildup is not as common as we think—according to the American Academy of Otolaryngology—Head and Neck Surgery, 1 in 20 adults experience this problem. Warning signs for buildup is pain or itching, ringing in the ear, a feeling that the ear is full, hearing loss and odour or discharge. If you're not experiencing these symptoms, there is no reason to be removing earwax!
Contrary to popular belief, cotton swaps don't actually clean the ear. In fact, they do much more harm than good. Cotton swabs push the ear wax further into your ear canal and can seriously damage your eardrum or ear canal. It's due time we put to bed this impulsive need to clean our ears!









